


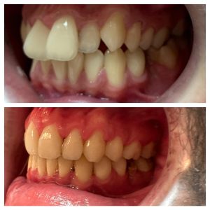
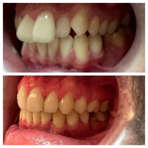
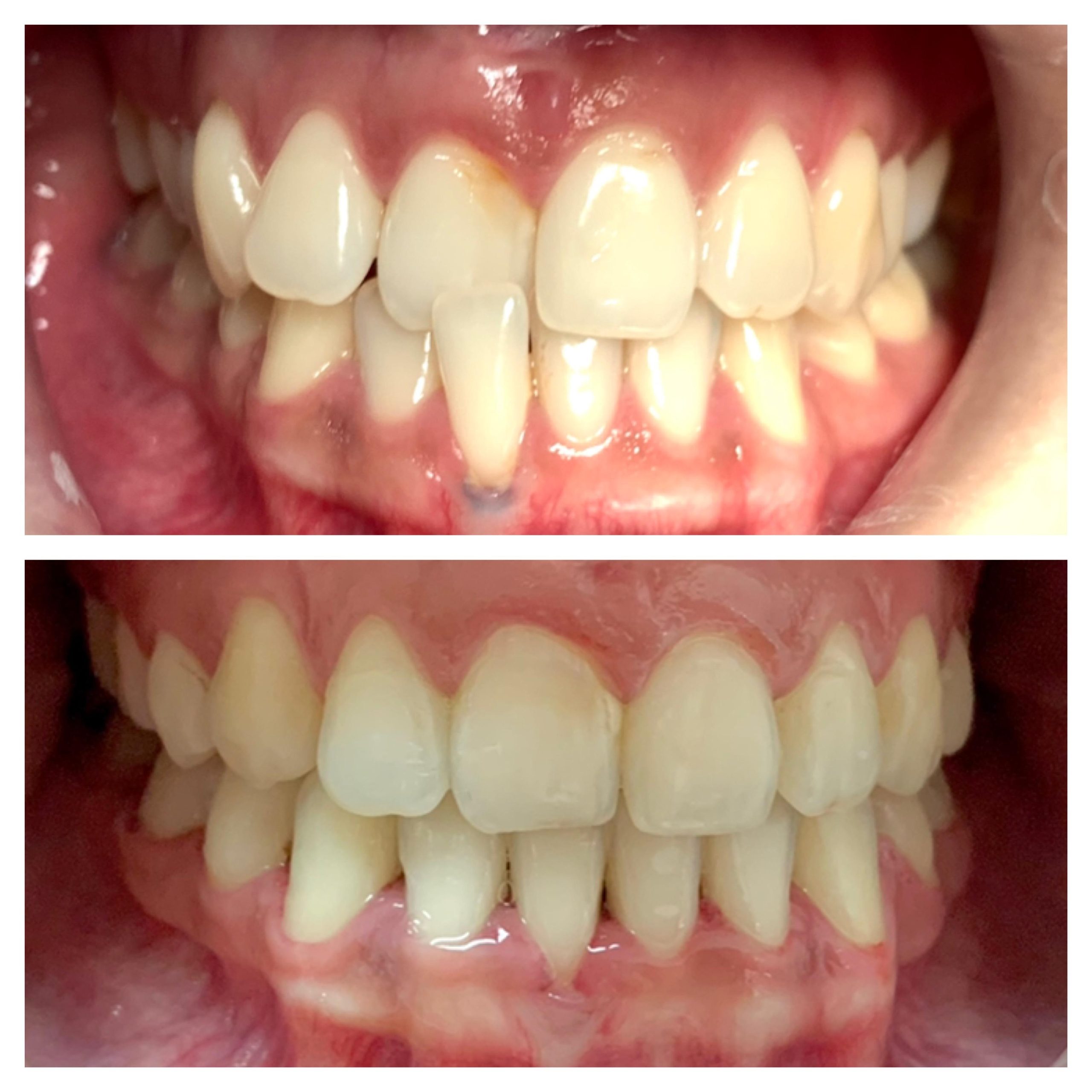
M.P. 12,2 years old
Densitry, palatal upper second incisors, canines high. The therapy lasted 25 months.


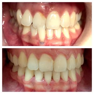
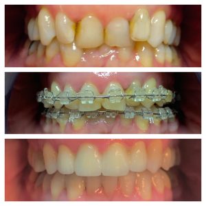
Density, four “fours” extracted. All teeth aligned beautifully in a beautiful smile. The therapy lasted 22 months.


Unevenly placed teeth in the upper and lower jaw. Therapy combined with extraction of two upper premolars. The therapy lasted 26 months
Kontakt info